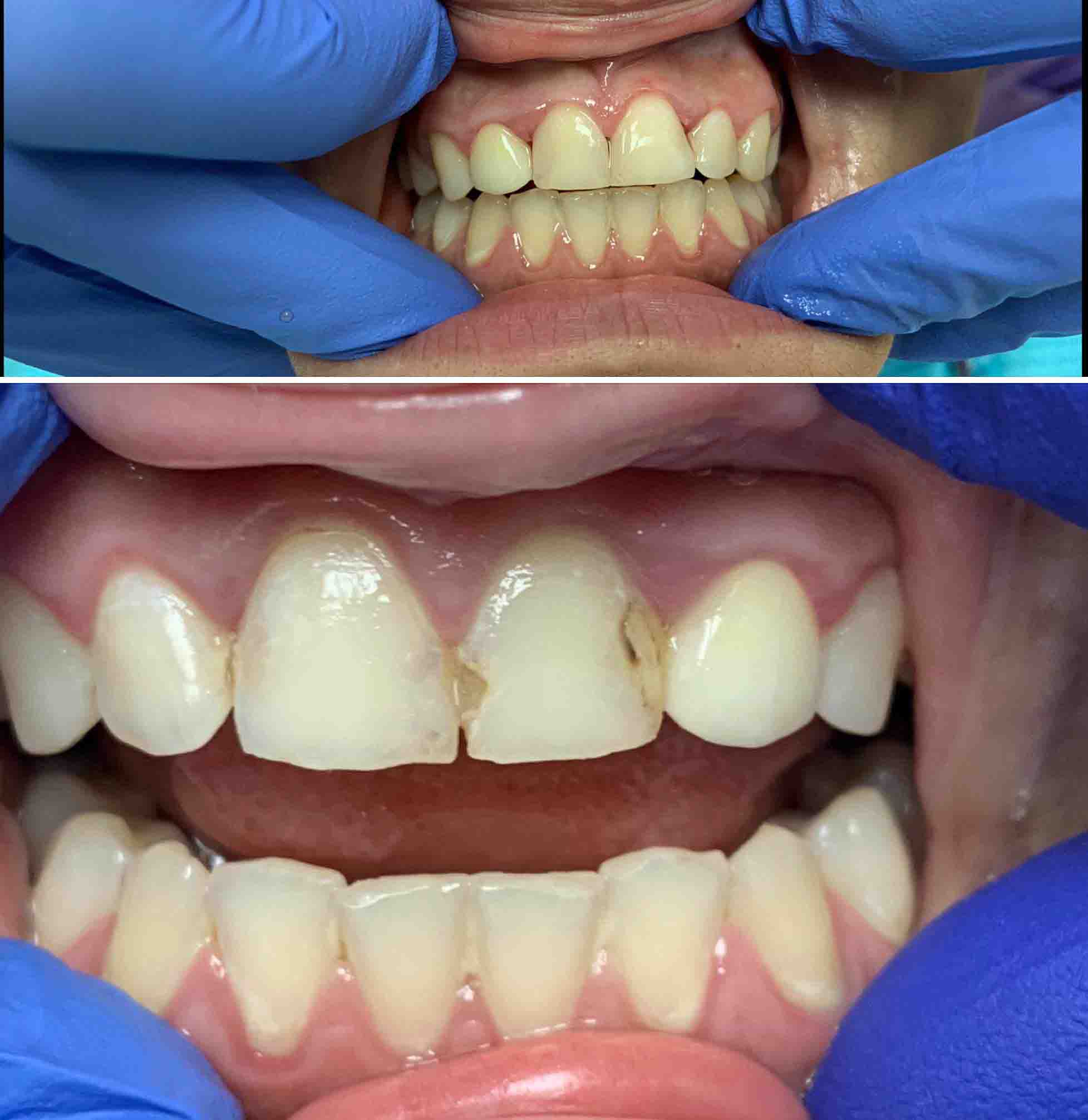
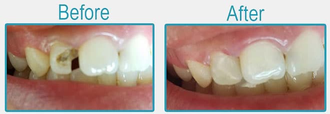
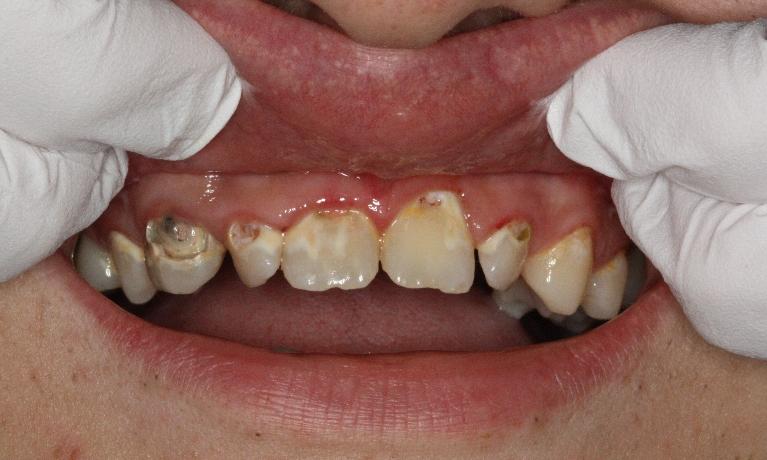
Cavity Before And After Filling
Oct. 21, 2025
Dental Fillings in Miami with Dr. Barsky | Barsky DDS Cavity Filling in Brooklyn NY | Dental Composite Fillings Dental Fillings Ridgewood NJ - Natural-looking Composite Fillings Smile Gallery - Before and After Dental Photos - Smile Makeovers N ... Dental Fillings / Cavity Treatment — Shanna Chirco DDS Cavity Before And After Filling