Cementoblastoma Collection 2022 Cementoblastoma Collection 2022

Cementoblastoma

Nov. 7, 2025

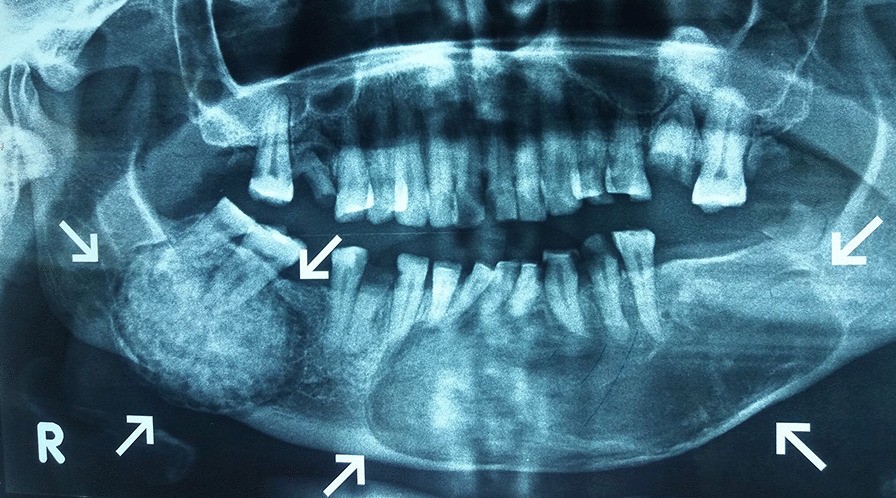
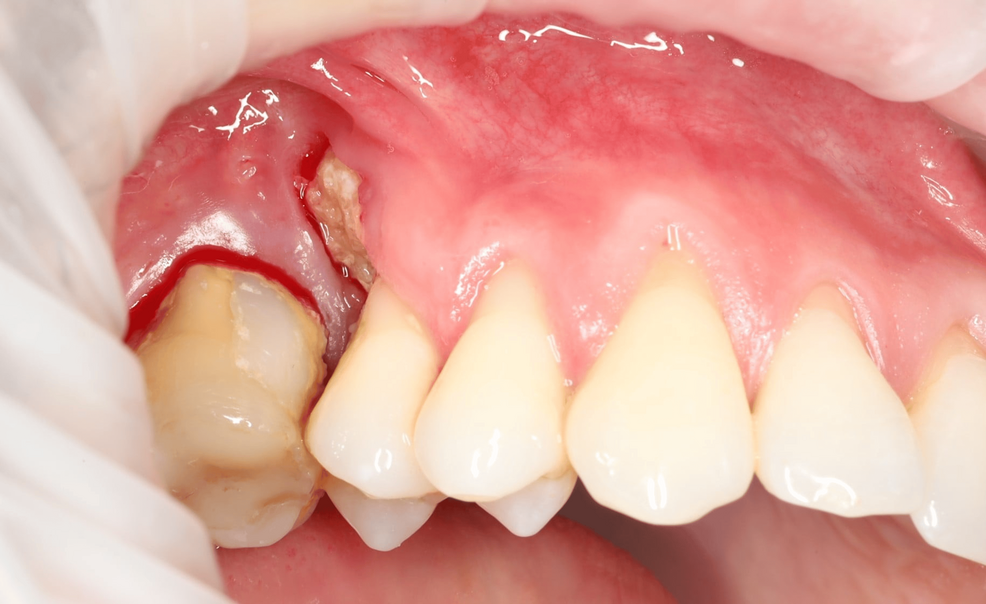
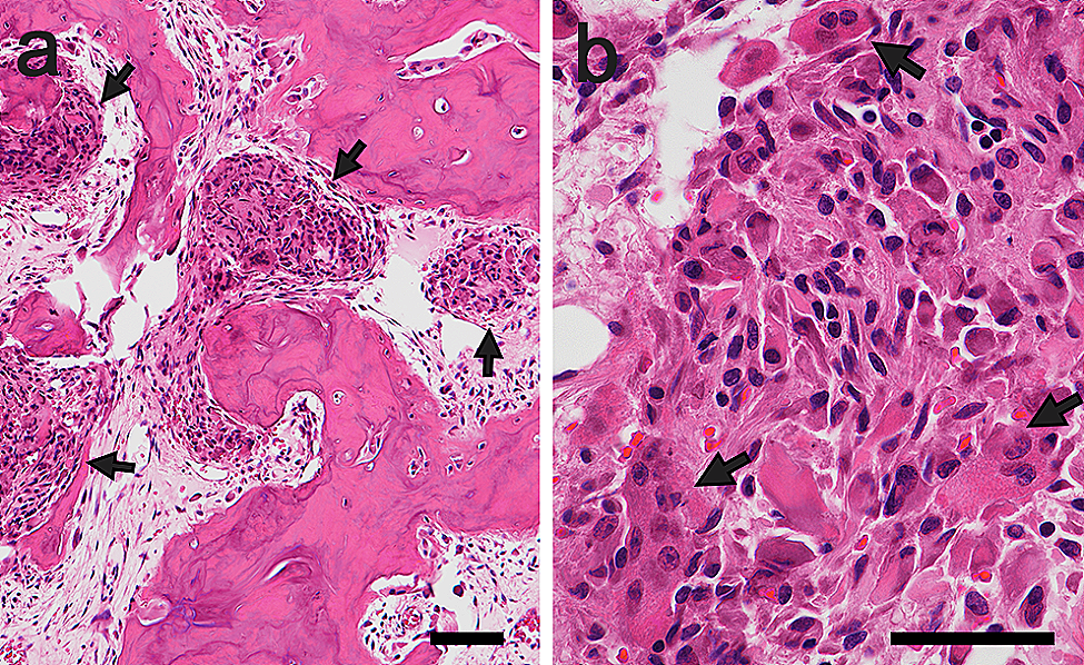
Cementoblastoma - Wikipedia Apical Radiopacities - Radiodontics Cementoblastoma: Features, Diagnosis, and Treatment Cementoblastoma. Classic appearance of a sclerotic tumor fused ... ❇ Benign Cementoblastoma Radiology: ▶ Location: → 78% in ... Cementoblastoma