Central Odontogenic Fibroma Histology Collection 2022 Central Odontogenic Fibroma Histology Collection 2022

Central Odontogenic Fibroma Histology

Nov. 4, 2025

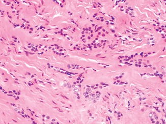
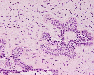
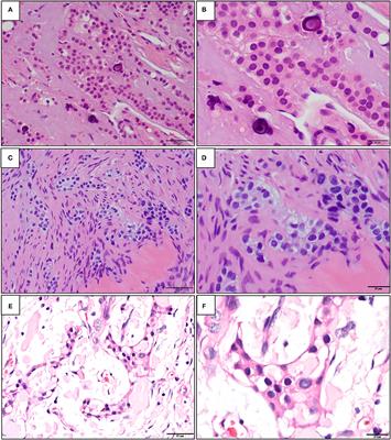
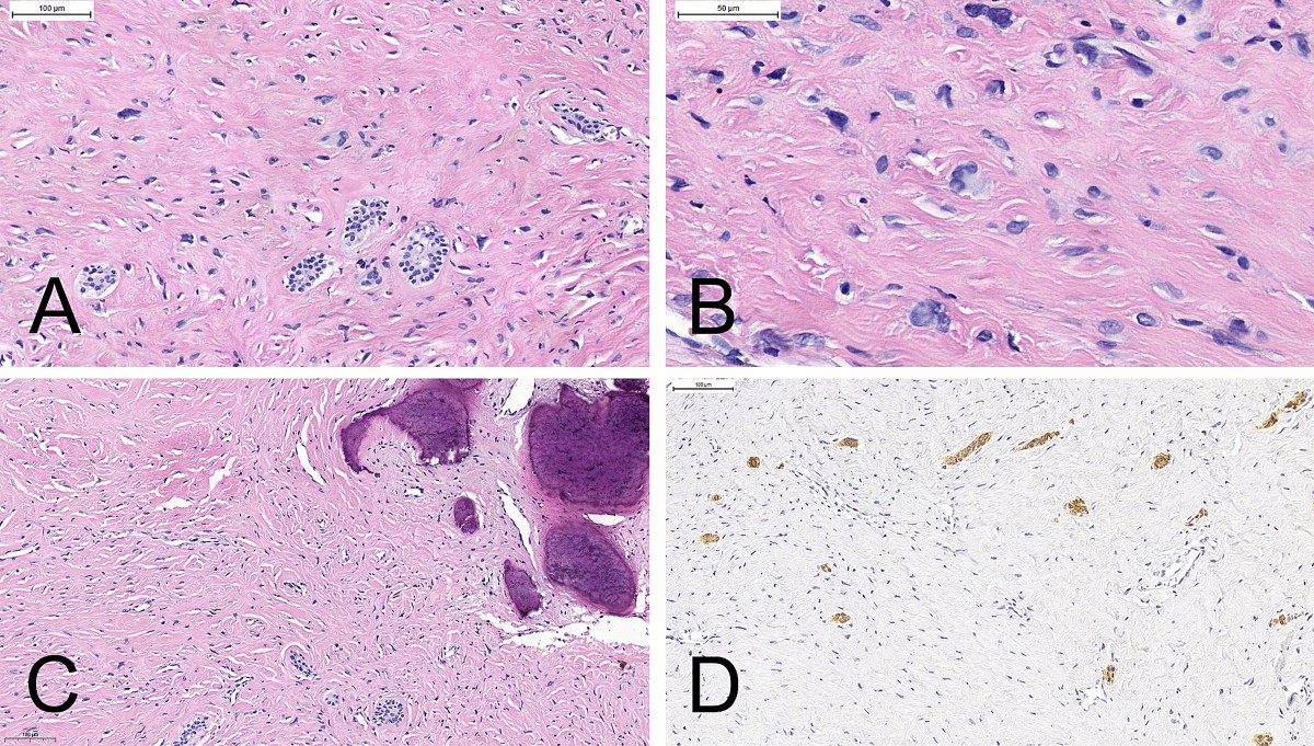
Pathology Outlines - Odontogenic fibroma Central Odontogenic Fibroma | Basicmedical Key Central odontogenic fibroma: a case report with long-term follow ... Figure 2 from Central odontogenic fibroma. | Semantic Scholar Pathology Outlines - Odontogenic fibroma Central Odontogenic Fibroma Histology