Dislocated Jaw X Ray Collection 2022 Dislocated Jaw X Ray Collection 2022

Dislocated Jaw X Ray

Oct. 22, 2025

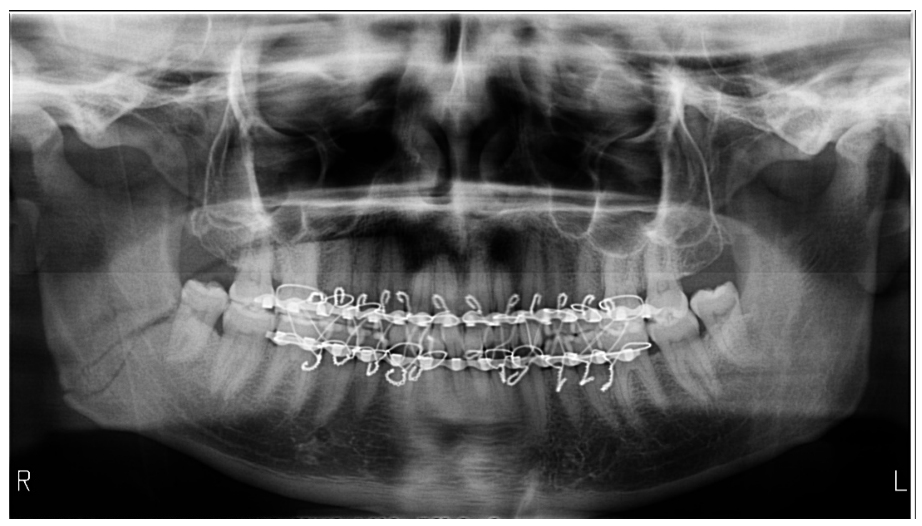
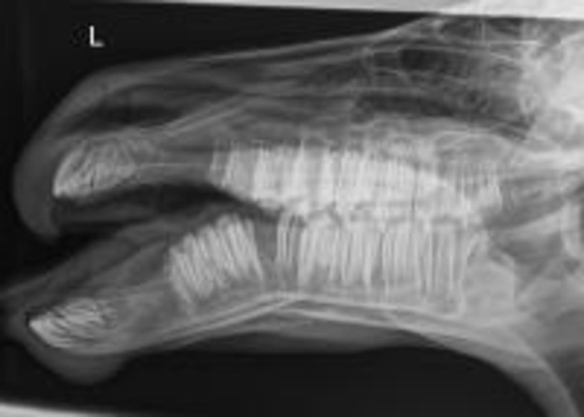
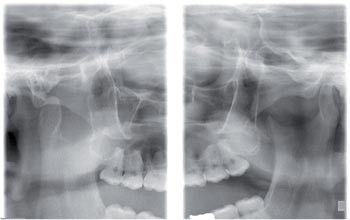
Learning Radiology - Dislocated, Mandible, Mandibular, Dislocation Dislocated Jaw: Symptoms and Treatment Bilateral temporomandibular joint dislocation | Radiology Case ... Pretreatment X-ray showing the anterior dislocation. | Download ... Learning Radiology - Dislocated, Mandible, Mandibular, Dislocation Dislocated Jaw X Ray