Enchondroma Hand
Oct. 18, 2025
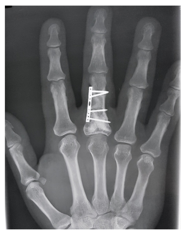
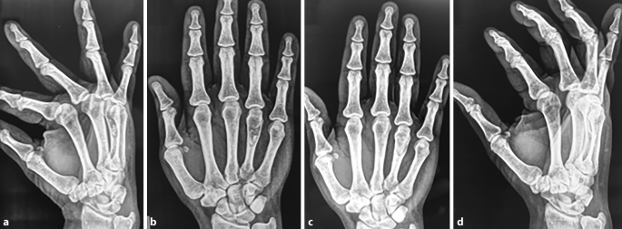
Enchondroma - Azouz Hand SurgeryAzouz Hand Surgery Enchondromas - Pathology - Orthobullets LearningRadiology- Enchondroma Enchondroma-of-hand LearningRadiology- Enchondroma Enchondroma Hand
Oct. 18, 2025
Enchondroma - Azouz Hand SurgeryAzouz Hand Surgery Enchondromas - Pathology - Orthobullets LearningRadiology- Enchondroma Enchondroma-of-hand LearningRadiology- Enchondroma Enchondroma Hand