Peripheral Giant Cell Granuloma Histology Collection 2022 Peripheral Giant Cell Granuloma Histology Collection 2022

Peripheral Giant Cell Granuloma Histology

Nov. 1, 2025

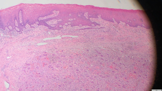
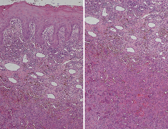
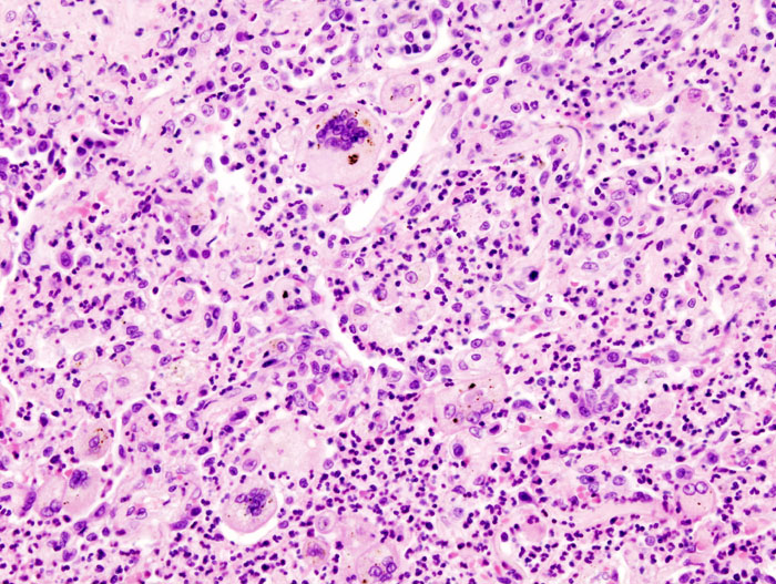
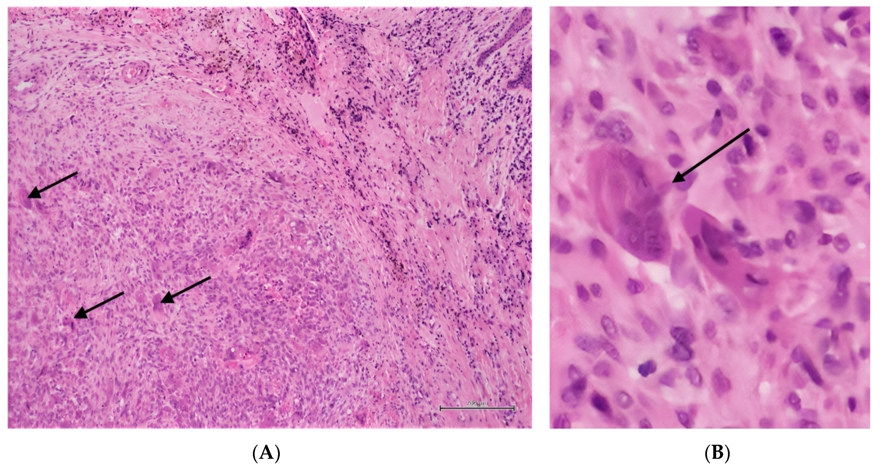
Histological appearance of peripheral giant cell granuloma ... Peripheral Giant Cell Granuloma : Giant Cell Epulis Pathology Outlines - Peripheral giant cell granuloma Rare Case of a Peripheral Giant Cell Granuloma of the Jaw as First ... Pathology Outlines - Peripheral giant cell granuloma Peripheral Giant Cell Granuloma Histology