Giardia Lamblia Under Microscope Collection 2022 Giardia Lamblia Under Microscope Collection 2022

Giardia Lamblia Under Microscope

Nov. 4, 2025

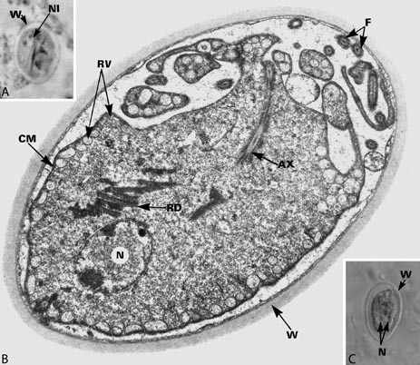
Giardia lamblia - Central Contra Costa Sanitary District The figure demonstrates the protozoic parasite Giardia ... 3+ Hundred Giardia Lamblia Royalty-Free Images, Stock Photos ... Giardia intestinalis (lamblia) 3+ Hundred Giardia Lamblia Royalty-Free Images, Stock Photos ... Giardia Lamblia Under Microscope