Kidney Tumor Ultrasound Collection 2022 Kidney Tumor Ultrasound Collection 2022

Kidney Tumor Ultrasound

Oct. 22, 2025

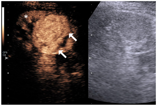
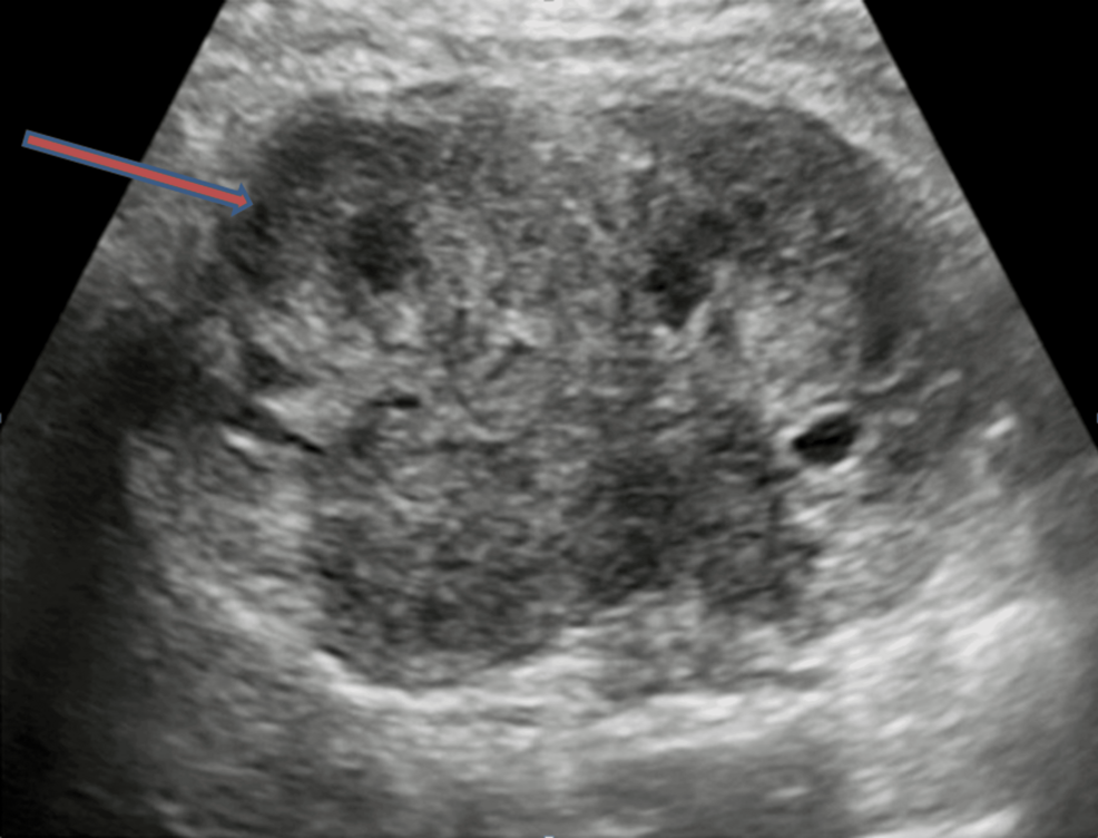
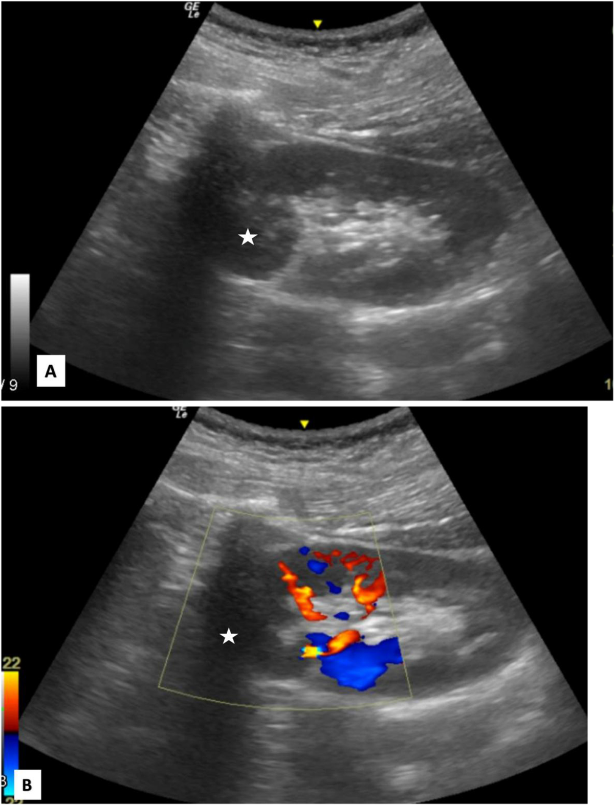
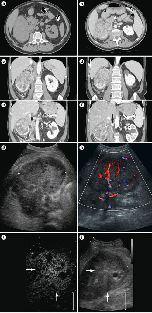
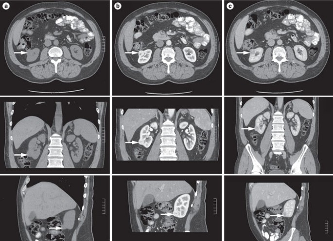
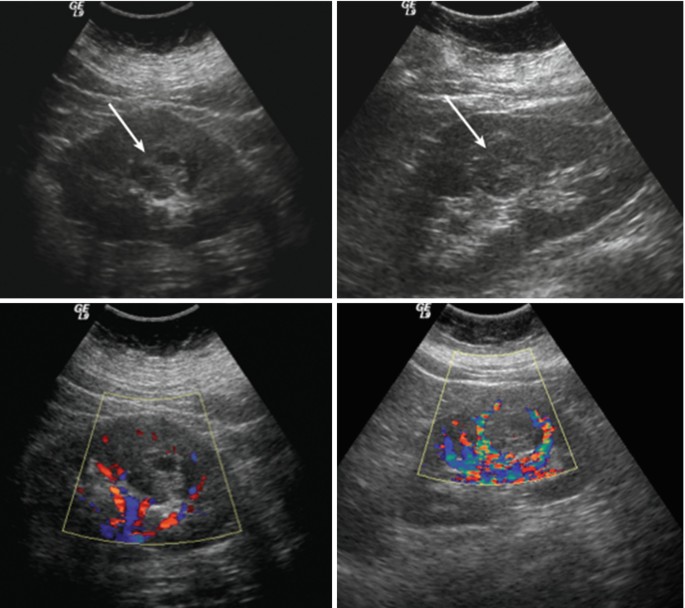
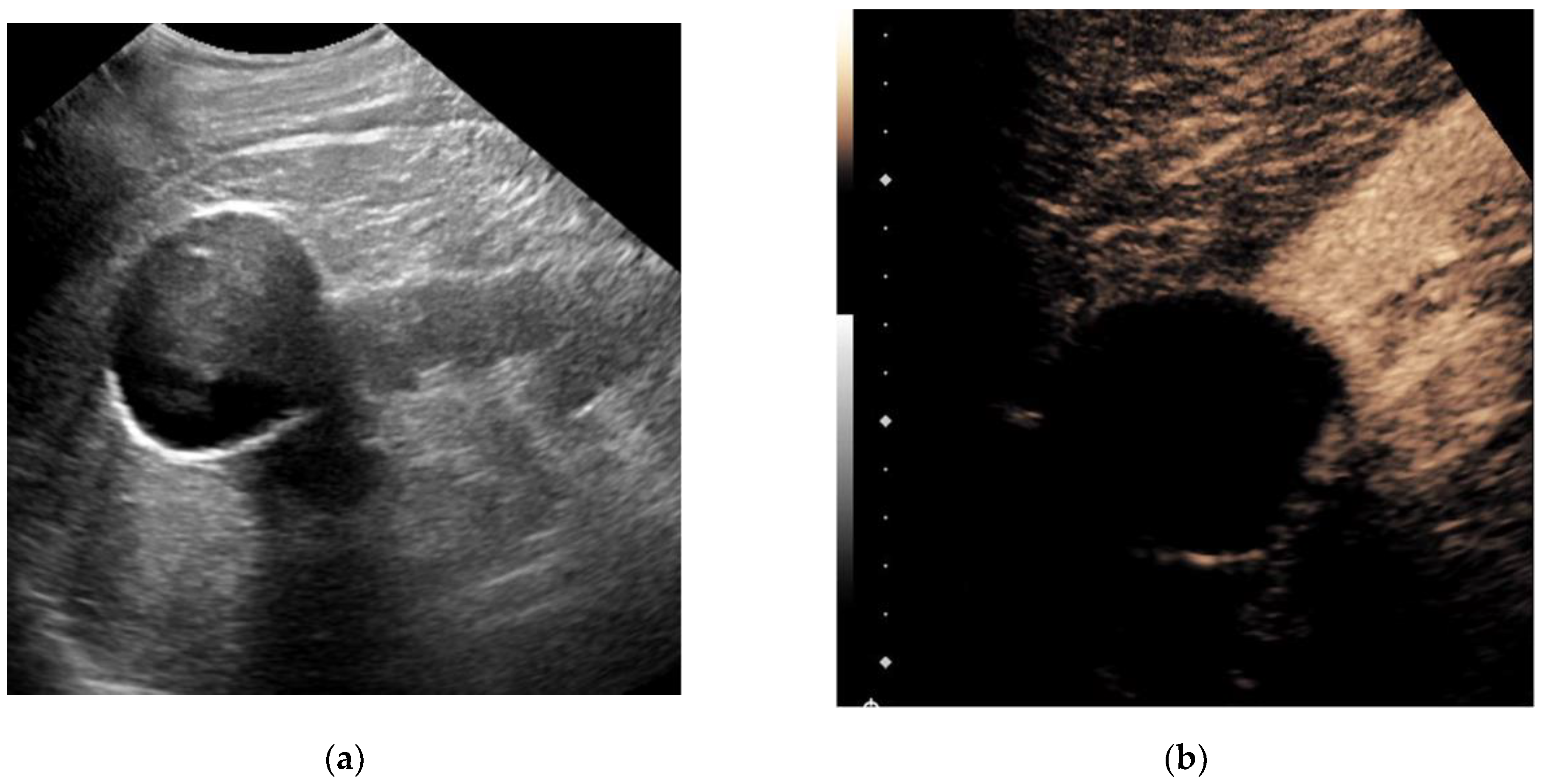
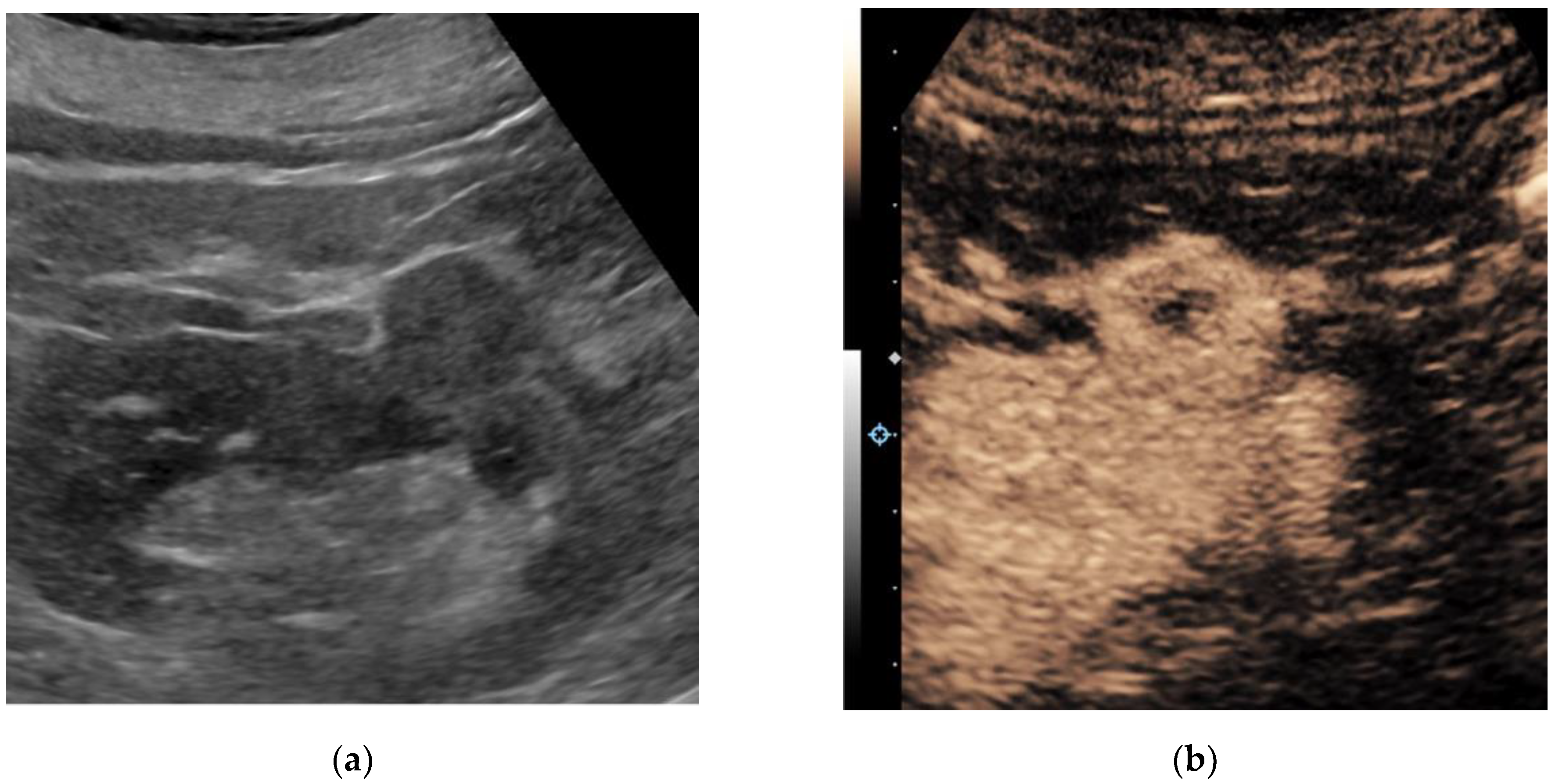
CEUS shows kidney mass is benign after CT suggests cancer ... Expanding the Role of Ultrasound for the Characterization of Renal ... Kidney Ultrasound Normal Vs Renal Cell Carcinoma Image Appearances | Malignant Renal Cancers RCC USG The role of ultrasound in detection and characterisation of ... Renal cancer Kidney Tumor Ultrasound