Toxoplasmosis Gondii Chorioretinitis
Nov. 4, 2025
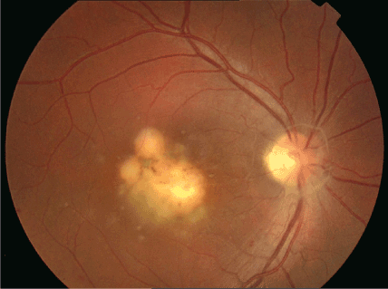
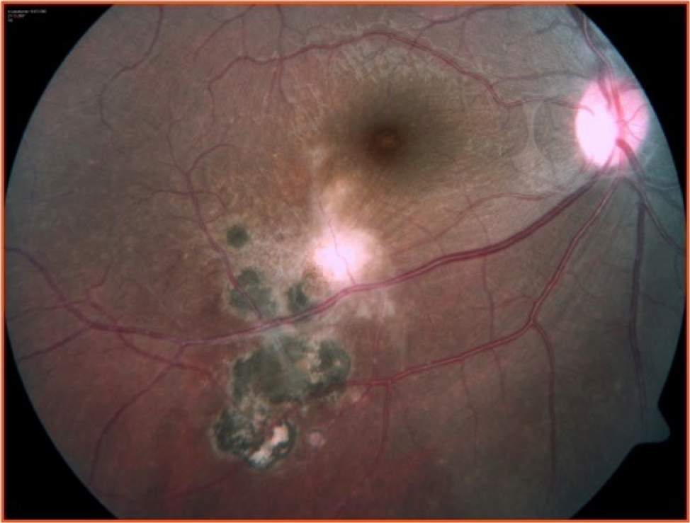
Toxoplasmic chorioretinitis - Wikipedia A typical chorioretinitis by toxoplasma Ocular Toxoplasmosis: Overview, Pathogenesis, Congenital Versus ... Toxoplasmosis - EyeWiki Fundus photograph of left eye showing active chorioretinitis of ... Toxoplasmosis Gondii Chorioretinitis